Kahramanmaraş’ta sırtüstü yatmak istemeyen ve sürekli ağlayan 1 yaşındaki bebek doktora götürülünce şoke eden gerçek ortaya çıktı. Farklı ortopedi, çocuk cerrahisi ve beyin cerrahisi kliniklerine başvurusu yapılan bebeğin sırt bölgesinde yabancı bir cisim olduğu tespit edildi ancak müdahalenin zor olduğu ve 8 yaşına kadar beklenmesi gerektiği bildirildi.

GİTTİKLERİ SON HASTANEDE TEDAVİ EDİLDİ
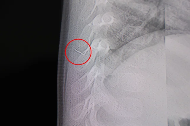
Ailenin son olarak başvurduğu hastanede yapılan tetkiklerde, yabancı cismin cilt altında, omurilik kanalına yakın bir bölgede olduğu ve akciğer zarına doğru ilerlediği belirlendi. Hasta, genel anesteziye alınmadan, lokal anestezi ve sedasyon eşliğinde ameliyata alındı. Yapılan müdahalede yabancı cisim tamamen çıkarıldı. Çıkarılan cismin ince zımba teline benzer metal bir tel olduğu ve yaklaşık 2 santimetre uzunluğunda bulunduğu tespit edildi. Hasta aynı gün taburcu edildi.

“AYNI GÜN TABURCU ETTİK”
Konuya ilişkin açıklama yapan Beyin ve Sinir Cerrahisi Uzmanı Prof. Dr. İdris Altun, “Sırtında yabancı bir cisim olduğu söylenmiş ancak çıkarılamayacağı ve 8 yaşına kadar beklenmesi gerektiği ifade edilmişti. Bize başvurduğunda yaptığımız tetkiklerde, cilt altında, omurilik kanalına çok yakın ve akciğer zarına doğru ilerleyen bir yabancı cisim tespit ettik. Hastamızı tamamen uyutmadan, lokal anestezi ve sedasyon eşliğinde müdahale ederek lezyonu tamamen çıkardık. Çıkardığımız cismin ince zımba teline benzer, yaklaşık 2 santimetre uzunluğunda metal bir tel olduğunu gördük. Bu yabancı cisim alınmasaydı bölgede enfeksiyon gelişebilirdi. Enfeksiyon sonucu omurilik kanalında ciddi hasarlar oluşabilir, çocuk büyüdükçe cismin hareket etmesine bağlı olarak omurilikte zedelenmeler meydana gelebilirdi. Ayrıca yana doğru ilerleyerek akciğer zarına ve akciğere batma riski vardı. Bu da enfeksiyona ve ilerleyen süreçte tümörle karışabilecek tablolara neden olabilirdi. Şu an hastamız gayet sağlıklı. Gerekli kontrolleri yaptık ve aynı gün taburcu ettik” dedi.
KAYNAK: Haberler.com





